
Buriram, Thailand

10AM – 8PM

forfunbr66@gmail.com


การจัดฟันเหล็ก และการจัดฟันแบบใส ต่างสามารถช่วยแก้ไขปัญหาฟันที่ไม่เป็นระเบียบอันหลายหลายได้ ในผู้ที่มีความซับซ้อน หรือมีการสบฟันที่ผิดปกติอย่างรุรนแรง ทันตแพทย์มักแนะนำการจัดฟันเหล็กมากกว่าการจัดฟันใส

รากฟันเทียม (Dental Implant) เพื่อทดแทนฟันที่สูญเสียไป ให้ความรู้สึกใกล้เคียงกับฟันธรรมชาติมากที่สุด ซึ่งจะไม่มีผลข้างเคียงที่จะทำให้เกิดอันตรายในการปลูกรากฟันเทียม จำเป็นต้องให้ทันตแพทย์ที่มีความเชี่ยวชาญ

การเคลียร์ช่องปาก ค่าใช้จ่ายส่วนนี้ขึ้นกับแต่ละบุคคล เช่น การขูดหินปูน 800-1,000 บาท อุดฟันเริ่มต้นด้านละ 600 บาท ถอนฟันเริ่มต้น 500 บาท ผ่าฟันคุด 1,000-3,000 บาท ขึ้นอยู่กับสุขภาพในช่องปากของแต่ละคน ซึ่งจะมีปัญหาที่ต่างกัน
ผลงานบางส่วน ของทีมทันตแพทย์ของคลินิกเรา โดยได้รับอนุญาตให้เผยแพร่ ด้วยความเต็มใจจากผู้ป่วยขอบขอบคุณผู้ป่วยทุกๆท่าน

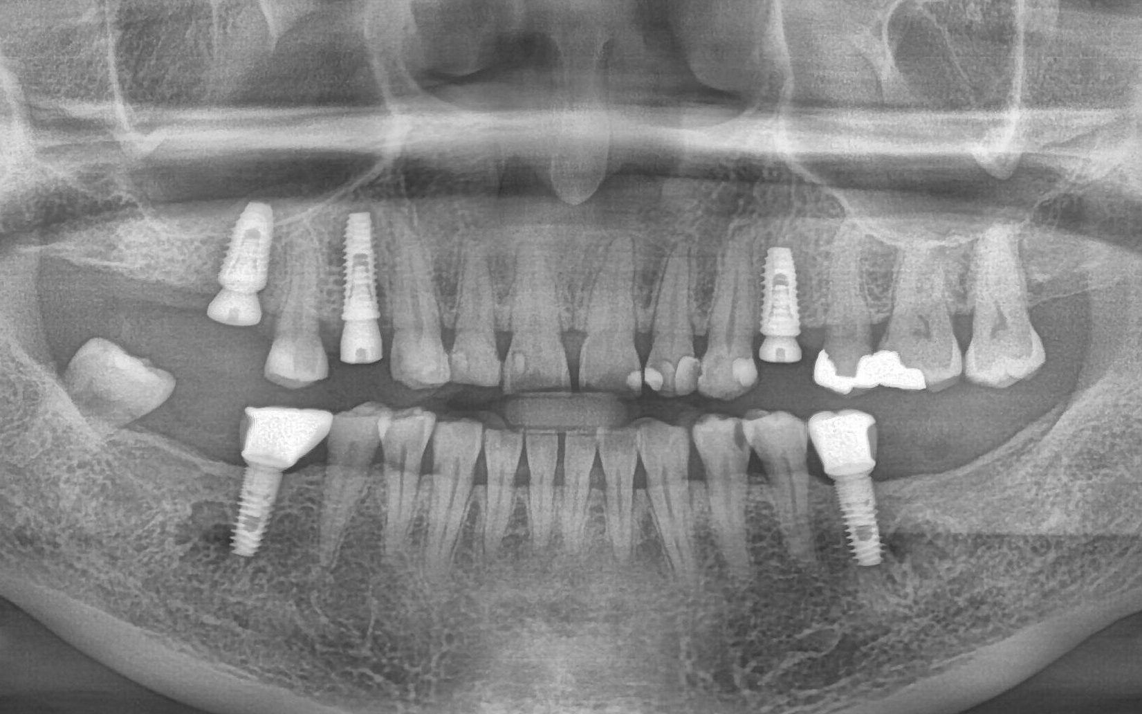
ก่อนทำรากฟันเทียม

ตัวนำรากเทียมระบบดิจิทัล

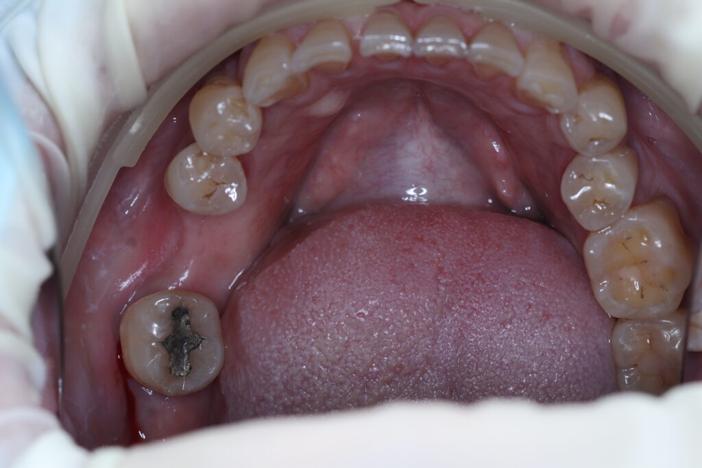
หลังจากรักษา ใส่ฟันปลอม

Intra Oral Scanner ใช้ในการทำ Digital Impression หรือพิมพ์ปากแบบดิจิทัล โดยจะมีแสงที่ปลายเครื่องมือส่องคลุมฟัน และเหงือกบริเวณที่เราต้องการสแกนแล้วประมวลผลโดย Imaging Sensor ที่มี Software สร้างแบบจำลอง 3 มิติ ชนิด Real Time ขึ้นในจอคอมพิวเตอร์
เครื่องเอกซเรย์ฟันนอกช่องปากระบบ 3 มิติ เทคโนโลยีทางการแพทย์ที่จะมาช่วยเพิ่มประสิทธิภาพในงานด้านทันตกรรม ครอบคลุมตั้งแต่การรักษาคลองรากฟัน ทันตกรรมรากฟันเทียม งานทันตกรรมทั่วไป จนไปถึงการผ่าตัดศัลยกรรมขากรรไกร และใบหน้า


3D printer คือเครื่องจักรที่ใช้กระบวนการเติมเนื้อวัสดุ เพื่อทำให้เกิดเป็นรูปร่างที่สามารถจับต้องได้ตามที่ต้องการ โดยอาศัยข้อมูลในรูปแบบดิจิทัล ซึ่งการเติมเนื้อหรือพิมพ์วัสดุลงไปนั้นเรียกว่า Addtitive Process ซึ่งการพิมพ์นั้นจะค่อยเป็นไปทีละ Layer หรือทีละชั้น
การรักษารากฟันเทียมแบบดิจิทัล ที่ช่วยให้ทันตแพทย์สามารถวางแผนตำปหน่งรากฟันเทียมได้ตามความต้องการ โดยขึ้นอยู่กับความต้องการในการบูรณะรากฟันเทียม และเงื่อนไขของการผ่าตัด


